Cosmetic Dentist in North York
At Empress Walk Dental, we offer a wide range of cosmetic dental treatments to help you achieve a brighter, more confident smile. Whether you’re looking to whiten your teeth, fix chips, or enhance your overall look, our experienced cosmetic dentist in North York is here to create the smile you’ve always wanted.
Book your appointment today; this is the first step toward a beautiful smile!

Give Us a Call
+1 (647) 503 - 4224
What Cosmetic Dentistry Services Do We Offer in North York?
At Empress Walk Dental, we provide a full range of cosmetic dentistry treatments designed to improve the look and function of your smile. From whitening your teeth to restoring damaged or missing ones, each service is tailored to help you feel more confident.

Teeth Whitening
Brightens your smile and remove stains caused by coffee, tea, or everyday habits.

Gum Contouring
Creates a balanced, even gum line that enhances your smile’s symmetry.

Smile Makeover
Combines different cosmetic treatments to achieve your dream smile.

Porcelain Veneers
Covers chips, cracks, or uneven teeth for a flawless, natural-looking smile.

Dental Crowns
Protects and restore damaged teeth while improving their shape and appearance.

Composite Bonding
Fixes small imperfections like gaps or discoloration quickly and affordably.

Tooth-Colored Fillings
Fills cavities with materials that match your natural teeth for a seamless look.

Dental Bridges
Replaces missing teeth with a natural-looking solution that blends with your smile.
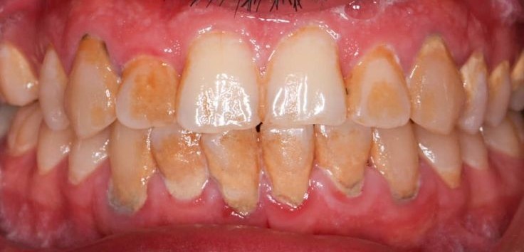
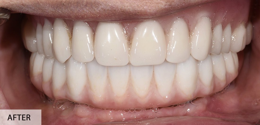
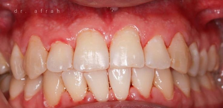
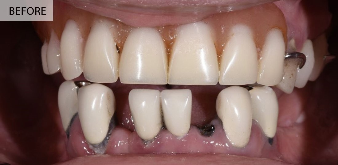
Before & After North York Cosmetic Dentistry










High-Quality Materials for Lasting Smiles
At Empress Walk Dental, we believe your smile deserves the best. That’s why we use only top-quality materials for our cosmetic treatments. From durable porcelain veneers to natural-looking fillings and crowns, our materials are designed to look great, feel comfortable, and last for years.
Payment Plans for Beauty Services at Empress Walk Dental
Most cosmetic dentistry treatments are not fully covered by dental insurance, as they are considered elective procedures. However, some services that improve both function and appearance, like crowns or bridges, may receive partial coverage depending on your insurance plan.
Payment Plans
- Installment Payment Plans
- Insurance Acceptance
- Cash and Credit Card Payments
For more information or to schedule a consultation, you can call us or book appointment
Ready for your first visit?
At Empress Walk Dental, we don’t want the cost to stand in the way of your dream smile. That’s why we offer flexible payment plans and financing options to make cosmetic treatments more affordable. Our team will explain all costs upfront and help you choose a payment option that works best for your budget.
Meet Our Team in North York
Welcome to North York Cosmetic Dentistry, a place where your smile and dental health are our top priority. Our passionate team of skilled professionals is dedicated to providing high-quality, personalized care that caters to your unique needs.
What Our Patients Are Saying
amir nirozadTrustindex verifies that the original source of the review is Google. The hygienist was friendly and thorough. My teeth look brighter and my gums feel healthier. Really good experience overall. meyson shabibiTrustindex verifies that the original source of the review is Google. Had a dental hygiene appointment and it was quick, gentle, and very professional. My teeth feel super clean and fresh. I’ll be coming back for sure. Midhat TihicTrustindex verifies that the original source of the review is Google. Very pleasant experience - superb competencies, great professionalism and great team - have been coming back for years (and my teeth never looked better :)). Francia BagacinaTrustindex verifies that the original source of the review is Google. It’s always a great experience, I’ve been coming here since 2015, and Dr. Far has taken excellent care of my oral health as well as my whole family. He is very professional, highly skilled and truly experienced. The staffs are friendly, helpful and provide their services with care and efficiency. I highly recommend this dental clinic , they always know exactly what to do. Farshin DastvarTrustindex verifies that the original source of the review is Google. Great staff, Great service, Great Dr Behrooz HemmatiTrustindex verifies that the original source of the review is Google. Professional and and excellent customer service Shadi SalehpourTrustindex verifies that the original source of the review is Google. 堀江美帆Trustindex verifies that the original source of the review is Google. Farhad SepehrTrustindex verifies that the original source of the review is Google. He is best Dentist in the world fully Experienced max olfatTrustindex verifies that the original source of the review is Google.
Why Choose Us?
Expertise in Cosmetic Dentistry
Our dentists have years of expertise in cosmetic dentistry, ensuring safe and reliable treatments.
Convenient North York Location
Located right at Empress Walk in North York, we make it easy to fit dental care into your busy life.
Advanced Tools & Techniques
With advanced tools and techniques, we provide precise and comfortable results.
Comprehensive Services Offered
From teeth whitening to full smile makeovers, everything you need is available under one roof.
Customized Treatment Plans
We design treatment plans that match your unique needs and goals.
We want to see you!
We want to see you!
Empress Walk Dental is a full-service dental clinic offering services near North York Centre and we are looking forward to being the first choice for you and your family’s dental care!
Book an Appointment
Frequently Asked Questions
The cost depends on the type of treatment you choose. Simple procedures like teeth whitening are more affordable, while options like veneers or smile makeovers may cost more. We’ll provide a clear estimate during your consultation.
Most aesthetic dentistry services are not fully covered by dental insurance, as they are considered elective. However, treatments that also restore function, such as crowns or bridges, may have partial coverage depending on your plan.
Porcelain veneers can last 10 to 15 years or even longer with proper care. Good oral hygiene and regular dental visits will help maintain the appearance and durability of your teeth.
General dentistry focuses on keeping your teeth and gums healthy, while cosmetic dentistry improves the look of your smile. Many treatments, like crowns or fillings, can provide both functional and cosmetic benefits.



