Dental Implants
You don’t have to deal with your missing teeth anymore and suffer from eating, speaking, and confidence challenges every day. At Empress Walk Dental, we offer high-quality dental implants in North York that look, feel, and function just like real teeth. So, if you’ve lost one tooth or several, our experienced dental team is here to bring back your smile and improve your quality of life.
Book your dental implant consultation today!

Give Us a Call
+1 (647) 503 - 4224
Cost
$3600-$6500
Session Length
1 hr- 1:30 hr
Treatment Duration
3-6 months
insurances
Covered by most insurances
Discomfort Level
5-8
What are Dental Implants?
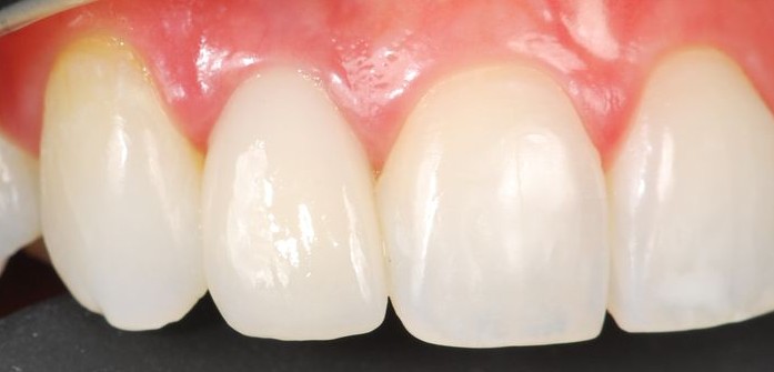
Dental implants, typically made from titanium, offer a highly effective solution for replacing missing teeth. This trusted metal is widely used in the medical and dental fields because it naturally bonds with bone, becoming a stable part of the jaw as the patient heals. With today’s advanced techniques, dental implants are safer and more predictable than ever, restoring your smile with a natural look and feel.
A single implant can anchor a crown to replace a single missing tooth perfectly. For larger gaps, implants can support bridges that span multiple missing teeth, providing a more stable foundation. They can even provide a sturdy foundation for dentures, offering a secure and comfortable fit that makes everyday activities, such as eating and smiling, feel effortless.
Cost of Dental Implants in North York
Price Range:
$3,600 - $6,500 per tooth
What Affects the Cost?
- Complexity of your case
- Number of implants required
- Restoration type (crown, bridge, or full-arch)
- Additional procedures (bone grafting or sinus lift)
During your consultation, we’ll provide a detailed treatment plan with transparent pricing so you know exactly what to expect.
Ready for Your First Dental Visit?
Book Your First Visit Today and Start Your Journey to a Healthy Smile
The Modern Solution for Missing Teeth in North York: Book Now!
Empress Walk Dental is a full-service dental clinic offering services near North York Centre and we are looking forward to being the first choice for you and your family’s dental care!
Make Your Appointment
Implant Services Offered
At Empress Walk Dental, we offer various types of dental implant services to meet any individual’s needs for replacing missing teeth.
Single Tooth Implants
A single-tooth implant is used to replace one missing tooth. It involves placing a dental implant where the tooth is missing and attaching a custom-made crown on top. It’s a long-term solution that looks just like a natural tooth, without affecting the surrounding teeth.
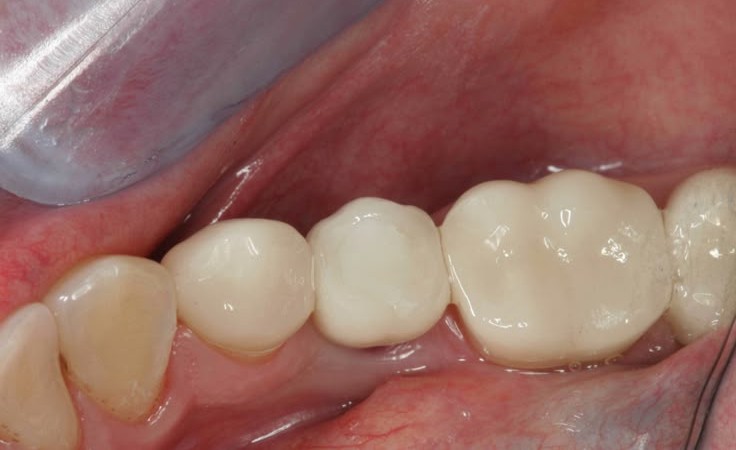
Implant-Supported Bridges
These are used when two or more teeth are missing in a row. Instead of using natural teeth as anchors like traditional bridges, this option is supported by dental implants placed in the jawbone. It offers better stability.
.
All-On-4 Dental Implants
All-On-4 is a full-arch replacement solution that uses just four dental implants to support a complete set of upper or lower teeth. This option is ideal for patients who have lost most or all of their teeth and want a fixed smile without needing a separate implant.
Full Mouth Reconstruction
Full mouth reconstruction involves restoring all of your teeth, whether you’ve lost them to injury, decay, or gum disease. It combines various treatments, such as implants, crowns, and bridges, to rebuild your entire smile, enhance function, and support overall oral health.
Should you consider having dental implants?
Dental implants are ideal in the following situations:
- For patients with one or more missing teeth
- For patients who are unable to chew properly due to missing teeth
- When you want to improve the overall look of your smile
Implants are recommended for patients who are above 18 years of age with a healthy mouth, no gum disease or tooth decay. For the implants to succeed over the patient’s lifetime, it’s important to maintain good oral hygiene. After performing a dental implant procedure, our dentist will schedule a series of regular follow-ups, which help us to monitor the healing process and prevent any complications. Follow-up visits are important to ensure you get the best possible results.
befor and after dental implant






What are dental implants made of?
Dental implants are often made from a metal known as titanium. They come in the shape of a screw or tube. The typical dental implant is 8-16mm long. The exact dimensions will depend on the patient’s needs. Implants are placed specifically into the jawbone in order to serve as a root for the absent tooth. Once placed, they are connected with the crown, bridge or denture that supports the tooth using what is known as an abutment.
The healing process is known as osseointegration and it occurs within 3 to 6 months. During this time, the jawbone slowly integrates with the implant’s titanium exterior. Once this integration is complete, the implant is ready to take on the additional weight of a false tooth or teeth.
When is a dental implant not appropriate?
There are indeed situations where a dental implant is not recommended. At our dental clinic, we receive patients who wish to get implants but may not be suitable candidates for this procedure. We’ll go over some situations where we do not recommend dental implants:
- Patients with a jawbone that’s too thin to support implants. In some cases, bone grafting is done to thicken the bone.
- Smokers are generally not good candidates for dental implants, as they don’t recover from the procedure as quickly as non-smokers.
- Patients with periodontitis are more prone to infections in the implants.
- Patients with untreated diabetes are also not good candidates because they don’t heal as fast and are more prone to infection.
- These patients have other medical conditions, such as immune system deficiencies, systemic illnesses, blood clotting disorders, and bone diseases.
Implant Specialist at the Clinic

Dr. Alireza Golabchifar
Lead Dentist

Dr. Kazumi Nagai
Dentist
Step by Step: Your Journey to a Confident Smile
Are you interested in getting a dental implant in North York and would like to know what the treatment process is like? We’ll walk you through the steps involved in dental implant procedures.
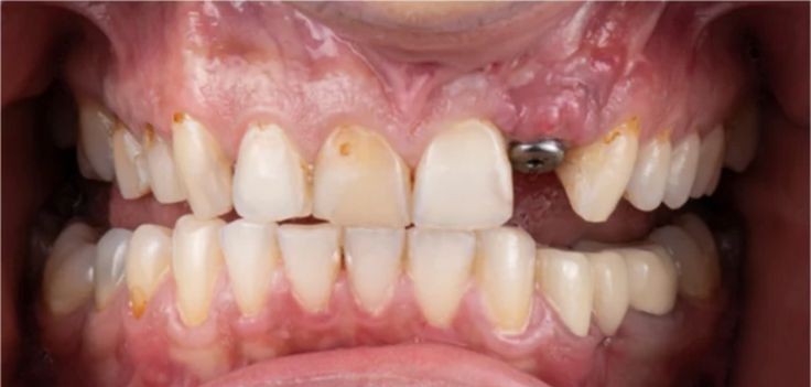
dental implant proccess
| Step | Explanation | Estimated Duration |
| 1. Consultation & Assessment | We examine your oral health, take X-rays or 3D scans, and determine if you’re a good candidate for dental implants. | 1 appointment |
| 2. Implant Placement | A small titanium post is surgically placed into your jawbone to act as the root of the new tooth. | 1 – 2 hours per implant |
| 3. Healing & Osseointegration | The implant fuses with your jawbone to create a strong, stable foundation. | 3 – 6 months |
| 4. Abutment Placement | A small connector (abutment) is attached to the implant to hold the crown. | 1 appointment |
| 5. Crown or Restoration Placement | A custom-made crown, bridge, or denture is secured to the abutment, completing your smile. | 1 – 2 appointments |
Take the First Step: Book Your Implant Consultation in North York
Don’t let missing teeth hold you back any longer. Whether you need to replace one tooth or restore your entire smile, our team at Empress Walk Dental is here to help with expert care and personalized solutions. Book your dental implant consultation today and discover how comfortable, natural, and life-changing your new smile can be.
What Our Patients Are Saying
Mary TTrustindex verifies that the original source of the review is Google. Fantastic Dentist. Went there for almost a decade and have had no issue. Moved away from the city and I miss them now that I'm shopping around- thank you for taking such good care of us! Maxine HenryTrustindex verifies that the original source of the review is Google. Dr. Far (Golabchifar), was absolutely wonderful. I am so happy I read the online reviews. I highly recommend him. You will not be disappointed. A++ service!! Thank you!! hadi naghaviTrustindex verifies that the original source of the review is Google. Excellent dental hygiene visit! My teeth feel so clean, and the hygienist was gentle and thorough. Highly recommend! Elena MahvashiPourTrustindex verifies that the original source of the review is Google. I had a full check-up and cleaning. The dentist really took their time and cared. I also had a filling done and it was fast Adam ClrakeTrustindex verifies that the original source of the review is Google. My crown looks great! They did a nice job on my restoration. The staff always makes me feel comfortable. Golnaz SamiTrustindex verifies that the original source of the review is Google. I needed help with my gums, and the periodontics treatment helped a lot. The dentist was patient and kind. Dorsa SamimiTrustindex verifies that the original source of the review is Google. Very clean place and everyone smiles. I had oral surgery and everything went well. I trust the dental team a lot. Raena MazahernasabTrustindex verifies that the original source of the review is Google. I’ve been seeing Dr. Nagai for a while now. She’s always careful and sweet. The team helped me with a dental implant too.
Empress Walk Dental is a full-service dental clinic offering services near North York Centre and we are looking forward to being the first choice for you and your family’s dental care!
Make Your Appointment
Frequently Asked Questions
Dental implants are designed to be a long-term solution and can last more than 15 years or even a lifetime with proper care. Good oral hygiene and regular dental check-ups help maximize their lifespan.
Most patients report minimal discomfort during and after the procedure. Local anesthesia is used, and most people say getting a dental implant is less painful than a tooth extraction.
Dental implant costs can vary depending on the number of implants, type of restoration, and any additional treatments. A personalized quote is provided after your initial consultation.
The entire dental implant process typically takes several months, including healing time after implant placement. Some treatments can be completed faster with same-day options.
If you have healthy gums and enough jawbone to support an implant, you are likely a good candidate. A dental consultation and X-rays will help confirm your eligibility.


