Orthodontist in North York
Orthodontics is not only about straight teeth, but also about confidence and long-term oral health. Properly aligned teeth are easier to care for, help prevent dental issues, and let your natural smile shine. At Empress Walk Dental, our orthodontist North York provides personalized treatments to gently move your teeth into the right position, giving you a healthier bite and a smile you’ll feel proud of.
Book your orthodontic consultation today!

Give Us a Call
+1 (647) 503 - 4224
Cost
$6,000 to $8,500 & up
Session Length
30 - 45 min (Initial appointment: 1:30 Hr)
Covered by most insurances
Partially Covered
Treatment Duration
6 Months - 2 Years
Types of Orthodontic Treatments We Offer

Traditional Metal Braces
A reliable choice for all ages, metal braces use brackets and wires to gradually move your teeth into place. They’re strong, effective, and often the most affordable option.

Invisalign and Clear Aligners
Clear aligners like Invisalign treatment straighten your teeth without metal brackets. They’re nearly removable, and a comfortable choice for those who want a discreet treatment.

Lingual Braces
Placed on the back of your teeth, lingual braces work like traditional braces but stay hidden from view. They’re perfect if you want a more private option.

Ceramic Braces
Ceramic braces blend in with your natural tooth color, making them less noticeable than metal braces while still offering the same reliable results.

Self-Ligating Braces
These braces use a special clip instead of elastic bands, which makes them more comfortable and may shorten treatment time.

Retainer
After treatment, a retainer helps keep your teeth in their new position so your smile stays straight and healthy for years.
The Cost of Orthodontics in North York
The cost of orthodontic treatment at Empress Walk Dental usually ranges from $6,000 to $8,500 and up, depending on your specific needs. The final price can vary based on several factors, including the type of braces or aligners you choose, the complexity of your case, and the length of your treatment.
Orthodontic price range
$6,000 to $8,500
Ready for your book for a visit?
Since every smile is unique, we recommend booking a consultation with our North York orthodontist to get a more accurate estimate tailored to your situation. Our team will walk you through your options and discuss flexible payment plans to make treatment as comfortable as possible for you.
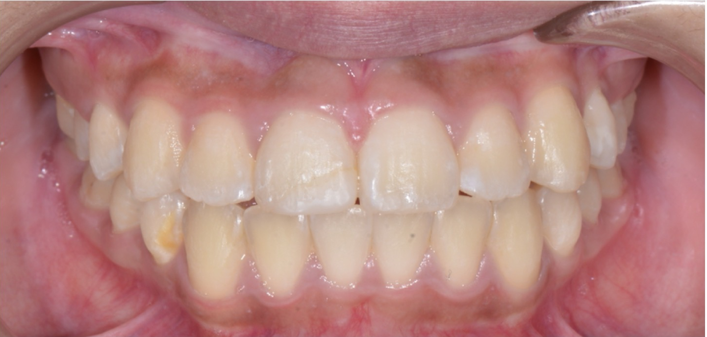
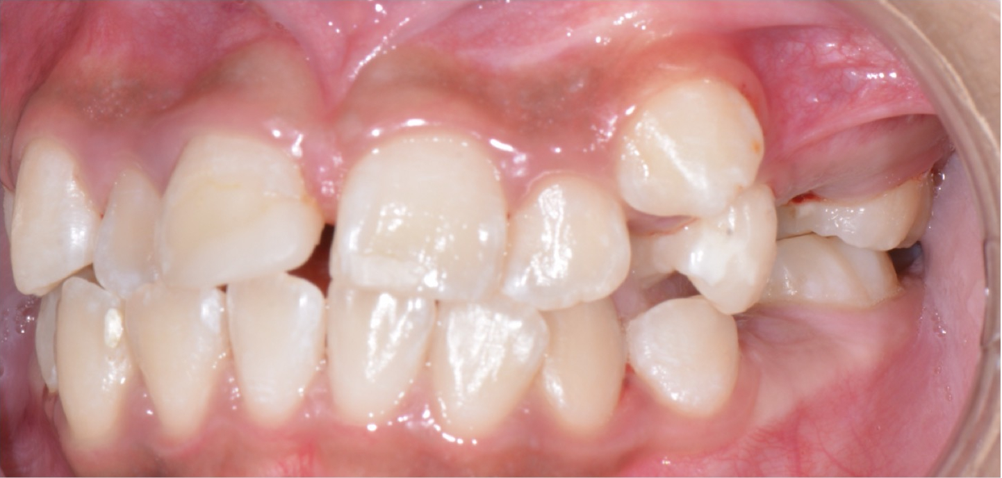
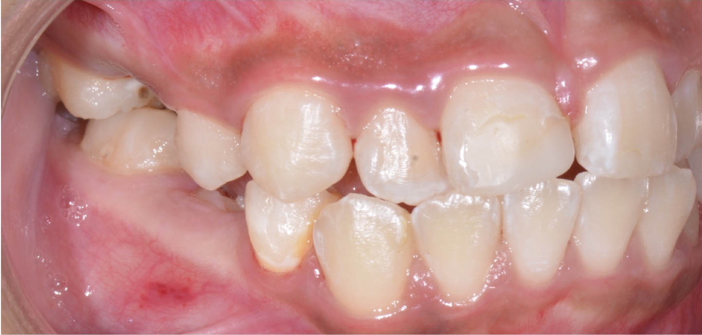
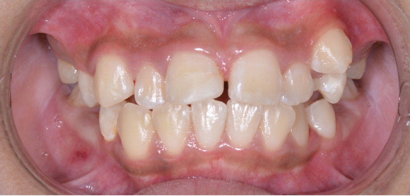
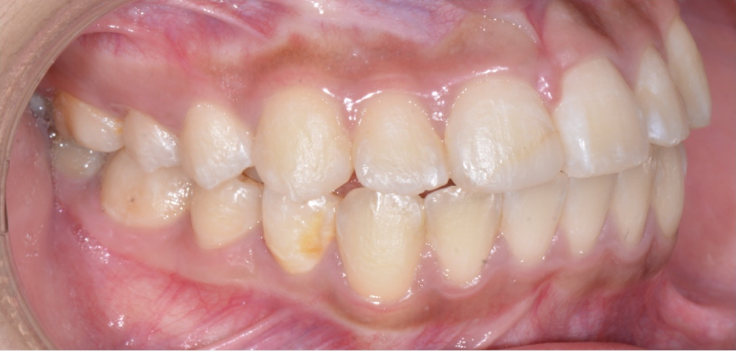
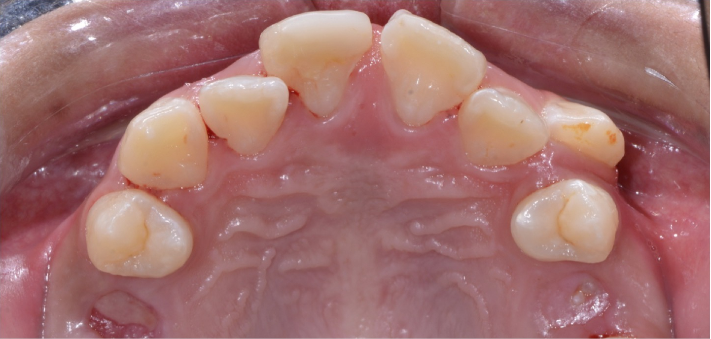
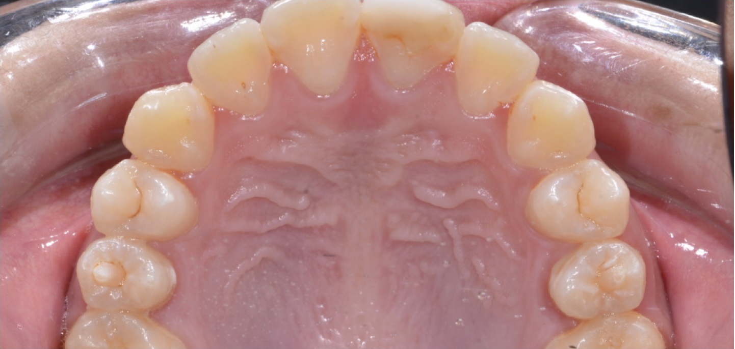
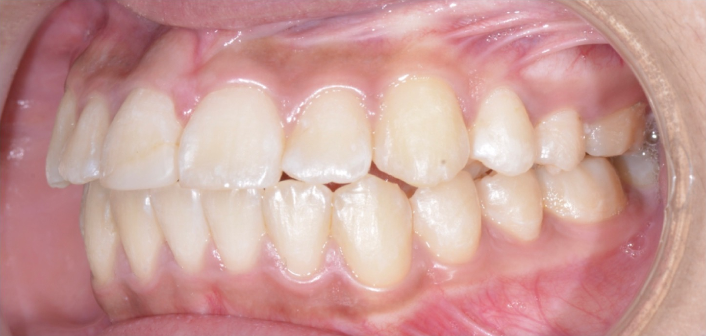
Before and After Orthodontics






Meet Our North York Dentists
At Empress Walk Dental, our team is not just dental professionals; we’re people who truly care about your smile and comfort. Our orthodontists in North York bring years of experience and a gentle approach to every treatment, making sure you feel supported every step of the way. Alongside our skilled dental staff, we work together to create a welcoming space where patients of all ages can feel at ease. When you choose us, you’ll receive expert orthodontic care in North York and be welcomed into an environment where you’re treated like family.
Ready to start your smile transformation?
Your dream smile is just a visit away! Schedule your orthodontic consultation at our North York dental clinic and let’s create a healthier, straighter smile together.
We want to see you!
Empress Walk Dental is a full-service dental clinic offering services near North York Centre and we are looking forward to being the first choice for you and your family’s dental care!
Book an Appointment
The Orthodontic Treatment Process
We start with a full examination, dental X-rays, and a conversation about your goals to understand your needs.
Our orthodontist designs a custom plan, recommending the best option for your teeth; whether braces, aligners, or another treatment.
Your braces or aligners are placed, and we guide you on how to care for them at home.
You’ll visit us for adjustments or progress checks to make sure your teeth are moving as planned.
Once your teeth are properly aligned, we remove your braces or complete your aligner series.
To keep your smile straight, we provide a retainer and explain how to use it for long-lasting results.
What Our Patients Are Saying
amir nirozadTrustindex verifies that the original source of the review is Google. The hygienist was friendly and thorough. My teeth look brighter and my gums feel healthier. Really good experience overall. meyson shabibiTrustindex verifies that the original source of the review is Google. Had a dental hygiene appointment and it was quick, gentle, and very professional. My teeth feel super clean and fresh. I’ll be coming back for sure. Midhat TihicTrustindex verifies that the original source of the review is Google. Very pleasant experience - superb competencies, great professionalism and great team - have been coming back for years (and my teeth never looked better :)). Francia BagacinaTrustindex verifies that the original source of the review is Google. It’s always a great experience, I’ve been coming here since 2015, and Dr. Far has taken excellent care of my oral health as well as my whole family. He is very professional, highly skilled and truly experienced. The staffs are friendly, helpful and provide their services with care and efficiency. I highly recommend this dental clinic , they always know exactly what to do. Farshin DastvarTrustindex verifies that the original source of the review is Google. Great staff, Great service, Great Dr Behrooz HemmatiTrustindex verifies that the original source of the review is Google. Professional and and excellent customer service Shadi SalehpourTrustindex verifies that the original source of the review is Google. 堀江美帆Trustindex verifies that the original source of the review is Google. Farhad SepehrTrustindex verifies that the original source of the review is Google. He is best Dentist in the world fully Experienced max olfatTrustindex verifies that the original source of the review is Google.
How Long Does Orthodontic Treatment Take?
The length of orthodontic treatment depends on the complexity of your case and the type of treatment you choose. On average, most patients wear braces or clear aligners for 6 to 24 months, but simpler cases may take less time, while more complex ones may require longer.
During your consultation, our North York orthodontist will assess your teeth and bite, then provide a personalized estimate so you know what to expect. Regular check-ups and following your treatment plan closely can also help with your smile transformation process and getting the best results on time.
Why Choose Our North York Orthodontist?
Choosing the right orthodontist is key to achieving the healthy, confident smile you started this journey for. Look for experience, personalized care, and a team that makes you feel comfortable throughout treatment. At Empress Walk Dental, our North York orthodontist combines years of expertise with modern techniques to create results that are both beautiful and long-lasting. We take the time to understand your goals, answer your questions, and guide you through every step of your orthodontic treatment.
Experienced team
Easy appointment scheduling and flexible hours
Modern tools and techniques for effective treatment
Comfortable, stress-free environment

Let's get in touch!
(416) 250-8000
Empress Walk Dental is a full-service dental clinic offering services near North York Centre and we are looking forward to being the first choice for you and your family’s dental care!
Make Your Appointment
Frequently Asked Questions
Orthodontic treatment can start as early as age 7 to monitor jaw growth and guide teeth. Teens and adults can also get effective treatment, as it’s never too late to improve their smile.
Yes! Invisalign and other clear aligners can achieve results similar to traditional braces for many cases. Your orthodontist will recommend the best option based on your teeth and bite.
You may feel some mild discomfort or pressure when braces or aligners are first placed or adjusted, but it usually subsides quickly.
Retainers help maintain your new smile. While you won’t need to wear them all the time forever, most patients wear them at night long-term to prevent teeth from shifting.
Checkups are usually scheduled every 4 to 8 weeks during treatment, depending on your specific plan and type of orthodontic appliance.
Most treatments last between 6 and 24 months, depending on the complexity of your case and the type of braces or aligners used.
Treatment is generally comfortable. You may feel some pressure after adjustments, but it’s a normal part of moving teeth into the right position.
Treatment is generally comfortable. You may feel some pressure after adjustments, but it’s a normal part of moving teeth into the right position.
Dentists provide general oral care, while orthodontists specialize in aligning teeth and correcting bites for both function and appearance.
Braces usually range from $6,000 to $8,500 and up in Toronto, depending on the type of treatment and complexity of your case.
Many dental insurance plans provide partial coverage for orthodontic treatment. Our team can help you review your benefits and discuss flexible payment options.



